キアリ奇形
キアリ奇形とは
キアリ奇形とは小脳もしくは脳幹の一部が頭蓋骨の出口である大後頭孔を超えて脊柱管内に入り込んでしまう病気で、以下のように分類されます。
キアリ奇形の分類
I型...小脳扁桃が大後頭孔より5mm以上脊柱管内に下垂している *
II型...小脳扁桃、小脳虫部、延髄、第四脳室が下垂している **
脊髄髄膜瘤に合併する
III型...小脳、延髄が頚椎の二分脊椎より脱出している
*I型の特殊型として小脳扁桃下垂は明瞭でないが後頭蓋窩が狭く大後頭孔での髄液の循環
障害を伴う脊髄空洞症を呈するものがあり、これを0型と呼ぶこともあります。
**本来I型及びII型の分類は大後頭孔への下垂の程度で分類されますが、これらは明瞭に
区別できない為、キアリII型奇形は原則として脊髄髄膜瘤を合併するものとされています。
1. キアリI型奇形
キアリI型奇形の症状
最も多い症状は咳・くしゃみ・笑った時などに増強する後頭部・後頚部痛で、6〜7割に認めます。脳幹の圧迫による嚥下障害、睡眠時無呼吸等の下位脳神経症状を2割程度に認めます。約半数に脊髄空洞症を伴い、その1/3程度に側彎(背骨の左右のゆがみやねじれ)を伴います。
乳幼児期には頭痛、上肢のしびれ等の症状で発症することは少なく、呼吸不全・嚥下障害などの脳幹圧迫症状、もしくは運動発達遅滞で診断されることが比較的多いです。
キアリI型奇形の診断と治療
MRIを用いた画像診断を行います。
画像所見と臨床所見の両者をもってキアリI型奇形の手術適応の判断はなされるべきで、無症状で高度の脊髄空洞症を伴わない場合は経過観察を行います。
症状があるもの(脳幹・上位頚椎の圧迫による呼吸がしづらくなる、ものが飲み込みにくくなるといった症状、脊髄空洞症による手足のしびれや麻痺といった症状)や脊髄空洞症を認める場合に手術の適応になりますが、脳神経外科専門医としっかり相談しながらすすめてください。
手術は、大後頭孔部の減圧により同部の髄液循環障害の改善を図る大孔部減圧術が行われます。後頭骨の一部と第一頚椎の後弓を骨削除します。高度の脊髄空洞症が存在するときには、硬膜形成を行うことが多いです。
2. キアリII型奇形
キアリII型奇形の症状
無呼吸発作、喘鳴、嚥下障害、後弓反張、低緊張、四肢麻痺等の脳幹、上位頚髄圧迫症状を認めます。
キアリII型奇形の診断と治療
MRIを用いた画像診断を行います。小脳扁桃、小脳虫部と延髄の下垂を認めます。40〜95%に脊髄空洞症も伴います。上位頚椎の減圧範囲を決めるために、小脳扁桃下端のレベルを確認します。
脊髄髄膜瘤患児の95%には画像上のキアリII型奇形を伴い、脳幹・上位頚髄圧迫症状を認めるものが手術適応となります。キアリII型奇形の80〜90%に水頭症を伴い、しばしば水頭症が脳幹・上位頚髄圧迫症状の原因となっていることがあります。このため、減圧術を施行する前に、髄液シャント術を行い水頭症の改善を図る、またシャント術が行われている患者ではシャント不全を除外することが重要です(シャントについては水頭症の項目を参照してください)。シャントが有効であるのに、キアリII型の症状を認める場合に手術が必要となります。発症後早期の減圧が症状の改善に有効とされます。
一般に術前症状を認めている期間が長いほど、改善する可能性は低くなります。手術をしないで様子を見た場合、キアリII型奇形の5〜10%は致死的となるという報告もあり、時期を失さずに減圧術を行うことが重要です。
生後早期に、両側の声帯麻痺等重篤な脳幹障害を伴う例では手術による症状の改善が困難な場合もあります。最終的に気管切開に至る例や人工呼吸器から離脱できても酸素投与が必要となる場合もあり、新生児科、小児科と連携した治療が重要となります。
キアリII型奇形においては、大孔部はむしろ開大しており後頭骨の削除は必要となりません。実際に減圧が必要な部位は、下垂した小脳と脳幹によりくも膜下腔の狭小化を認める上位頚椎です。下垂している小脳扁桃の下端までの上位頚椎減圧術が行われます。

図1 キアリI型奇形の術前(左側)及び術後(右側)のMRI画像 矢印は下垂した小脳扁桃を、*印は脊髄空洞症を示しています。術後脊髄空洞症が改善していることが分かります。

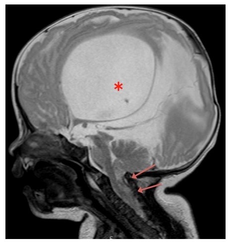
図2 キアリII型奇形のMRI画像 矢印は下垂した小脳扁桃と虫部を、*印は合併する水頭症を示しています。



