難治性脳形成障害症
難治性脳形成障害症とは
水頭症や二分頭蓋(脳瘤)、脊髄髄膜瘤に合併する脳形成異常を除いた脳形成障害をきたす疾患群を難治性脳形成障害症といいます。障害部位から小脳疾患と大脳疾患に大別し、それぞれ代表的なものとして以下の疾患があります。
〈小脳疾患〉
A. ダンディ・ウォーカー症候群
小脳虫部の欠損もしくは低形成、第四脳室の嚢胞性拡大、テント上の脳室拡大を認める先天性疾患です。胎児期の発生の過程で上髄帆という小脳の原基の一部が遺残することにより、嚢胞状に第四脳室が拡大すると考えられています。25,000人〜35,000人に1人の発生頻度といわれています。水頭症全体のうち1〜4%を占めています。
水頭症の症状と合併病変による症状とがあります。水頭症の症状としては、頭囲拡大、大泉門膨隆、後頭部膨隆、眼球下方偏移(落陽現象)、頭痛、嘔吐、などがみられます。約60%が生後徐々に水頭症が進行するので、出生時に水頭症がない場合も慎重な経過観察を要します。 小脳症状(眼振、失調)はみられないことが多いです
ダンディ・ウォーカー症候群の68%に脳梁欠損(後述)などの他の中枢神経病変を合併するといわれています。また心臓、顔面、泌尿器系、皮膚疾患などの中枢神経以外の全身性の先天性疾患を併発することもあります。
近年超音波検査の発達により胎児期に診断されることが多くなっていますが、MRI検査が最も有用な検査法です。 上述の異常を認めます。

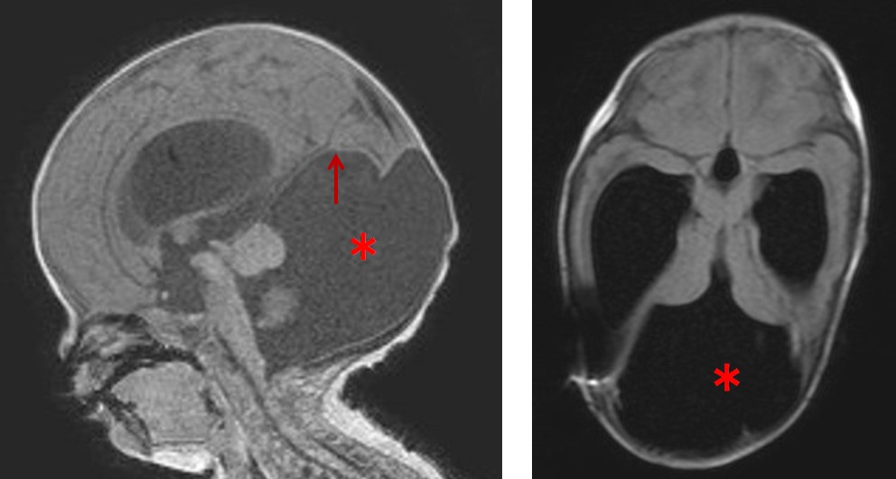
図1:ダンディ・ウォーカー症候群のMRI
小脳虫部の低形成、第四脳室に続く嚢胞(*)、小脳天幕の挙上(↑)、脳室拡大を認める。
ダンディ・ウォーカー症候群の治療
脳室拡大や後頭蓋窩嚢胞による症状があるときは治療を要します。脳室拡大がある場合は脳室腹腔シャント術を、嚢胞の拡大がある場合は嚢胞腹腔シャント術を行います。あるいは、内視鏡を用いシャントチューブを脳室から嚢胞へ誘導し、1本のシャントチューブで脳室と嚢胞の髄液を腹腔へ短絡する手術を行うこともあります。
ダンディ・ウォーカー症候群と鑑別すべき疾患として以下のものが挙げられます。
Blake's pouch cyst:小脳虫部は形成され、嚢胞は小脳虫部の下面から後面にかけて存在します。水頭症を来すことがありますが、適切な水頭症治療により発達良好です。
巨大大槽:大槽は個人差が大きく、通常より大きい時に巨大大槽といいます。嚢胞は内後頭結節を超えません。発達良好です。
後頭蓋窩くも膜嚢胞:内後頭結節を超えて小脳上面まで達する嚢胞。嚢胞が大きいものは手術を要することがあります。発達良好です。
小脳低形成:嚢胞性病変は呈さず、小脳半球や虫部自体が低形成のもの。染色体異常や何らかの症候群を合併する場合は、発達遅滞を来すことがあります。
〈大脳疾患〉
B. 脳梁欠損症
左右の大脳半球を連絡している神経線維である脳梁が形成されない疾患です。染色体異常やアイカルディー症候群など約200種類の疾患や症候群に伴うことがあり、その場合はてんかんや精神発達遅滞を呈することがあります。頭部外傷時の頭部画像検査で偶然見つかることがあり、比較的多い疾患です。脳梁欠損単独の場合は81〜100%で正常発達が期待できます。

図2:完全脳梁欠損症のMRI
左;矢状断;脳梁の完全欠損を認める。
右;冠状断;側脳室前角は三日月状を呈する(↓)。第三脳室は半球間裂に向かって挙上する(*)。
C. 全前脳胞症
左右の大脳半球の不分離を呈する疾患で、40〜45%が染色体異常を伴っています。1万出生あたり1人の発症となります。不分離の程度により3型に分類されます。最も重症型が無葉型で、全体の半数〜2/3を占めます。葉型は軽症型で、前頭部の一部のみに不分離があります。中間型が半葉型です。臨床症状は顔面正中異常(重症型では単眼症や口唇口蓋裂、軽症では歯牙の不分離や虹彩欠損)、精神運動発達遅滞、摂食障害、内分泌異常(尿崩症)がみられます。頭囲拡大がある場合は脳室腹腔シャント術が行われます。

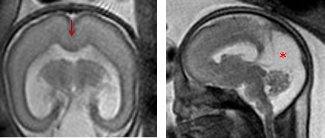
図3:半葉型全前脳胞症の胎児MRI
大脳の前頭部正中で皮質の連続性が確認できる(↓)。Dorsal cystを認める(*)。
D. 神経細胞移動障害症
古典的滑脳症、丸石様滑脳症、異所性灰白質、孔脳症、裂脳症が含まれます。丸石様滑脳症の一部を除いて水頭症手術は要しません。難治性てんかん、重度精神運動発達遅滞を呈するため、他の脳室拡大を呈する疾患と区別する必要があります。
E. 巨脳症-毛細血管奇形症候群
各年齢で定められた頭囲の正常範囲(母子手帳に頭囲曲線が載っています)を超えると大頭症と定義されます。大頭症の原因の大半は家族性大頭症や良性くも膜下腔拡大で、発達遅滞を呈することはありませんが、大頭症の児の中には、脳自体が異常増殖する巨脳症という疾患が含まれます。生下時より正常範囲をはるかに超える大頭であることが多く、多指症、合指症、毛細血管奇形、特徴的な脳所見(多小脳回、小脳扁桃下垂、脳室拡大、脳梁の過形成)などを合併します。巨脳症では発達が遅れたり、手術(脳室腹腔シャント術や後頭蓋窩減圧術)を要したりすることがあるため、他の頭囲拡大の児と区別して考えなければなりません。



