急性硬膜外血腫
急性硬膜外血腫とは
頭部外傷により頭蓋骨と脳を覆う硬膜との間に貯留した血腫を指します。原因としては頭蓋骨線状骨折による中硬膜動脈損傷によるものが多く、その他、静脈洞の損傷が原因となることもあります。若年者に多く、乳児や高齢者では頭蓋骨と硬膜が密着しているため発生頻度は低いとされています。典型的な症状としては、受傷直後は意識レベルが比較的保たれているものの、徐々に血腫増大によって意識障害を始めとする神経症状が進行性に悪化することが特徴的です。脳挫傷などの合併により、はじめから昏睡状態である場合もあります。
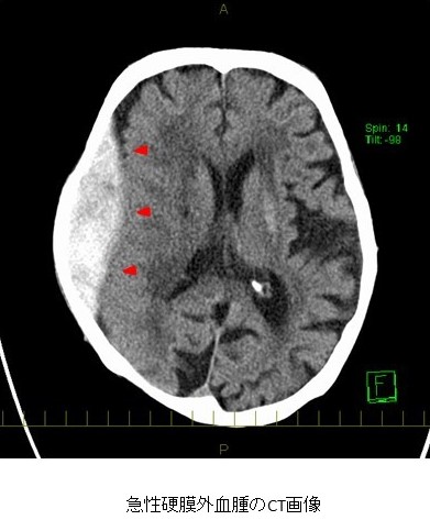
診断にはCTによる画像診断が有用で、頭蓋骨と脳の間の凸レンズ型の高吸収域が特徴的です。
急性硬膜外血腫の治療
手術適応は血腫の厚さや血腫量、脳ヘルニア所見、神経症状などから総合的に判断されます。手術は一般的には開頭血腫除去術が行われます。出血傾向や全身状態の悪い際には穿頭術での治療を選択することもあります。脳実質損傷の合併がない場合は、手術により比較的良好な転帰となる可能性が高く、時期を逸することなく診断、手術加療が行われることが重要です。



