くも膜下出血
くも膜下出血とは
くも膜下出血とは脳の表面のくも膜下腔という場所に出血をした状態です。「脳動脈瘤」という脳血管にできた“コブ”が破裂して起きることが多く、この脳動脈瘤は成人の2〜4%程度が有しています。くも膜下出血は年間当たり約1万人に1〜2人に発生します。50〜60歳代の方に多く、発症すれば25〜50%の方が亡くなるという非常に恐ろしい病気です。
症状は突然の激しい頭痛が特徴で、「ハンマーで殴られたような痛み」などと表現されます。重症になってくると意識がもうろうとしたり、意識が完全に無くなってしまいます。最重症になると発症してすぐに生命に関わります。破裂した脳動脈瘤は再破裂をしやすく、再破裂をするとさらに助かる可能性は低くなります。くも膜下出血の治療の最も重要なことは、できるだけ早く破裂した脳動脈瘤を同定し、再破裂しないように処置をすることです。
くも膜下出血の治療
再出血予防の治療には2つの方法があります。一つは、開頭手術(クリッピング術)、もう一つは、カテーテル手術(コイル塞栓術)です。クリッピング術とは動脈瘤の根っこのところを小さな金属製クリップで挟んで、動脈瘤に血流が入らないようにします。動脈瘤の大きさや位置、周囲の血管との関係から動脈瘤の根っこをクリップで挟むことができないこともあり、その場合は動脈瘤壁を補強する処置を行います。一方、コイル塞栓術は、カテーテルを用いて瘤の内部に金属でできたコイルと呼ばれる細くて柔らかいワイヤーを充填し、動脈瘤の中に血流が入らないようにします。クリッピング術とコイル塞栓術にはそれぞれに利点、欠点があり、どちらが適しているかは多くの要素を考慮して判断する必要があります。数日以内の再破裂が多いので、通常の場合は発症から2日以内に手術をします。
また、くも膜下出血のあとに遅れて脳の血管が一時的に細くなることがあり、これを『脳血管れん縮』と呼びます。ひどいときには脳循環が悪くなって脳梗塞になり、後遺症が残ります。これ以外にも『正常圧水頭症』という頭の中に余分な水(髄液)が溜まる病気が起こることがあります。こちらも治療が必要になります。
以上のように、くも膜下出血は複雑で重篤な疾患です。治療については担当医にしっかりと相談しながらすすめてください。

図:くも膜下出血を起こした脳(左)と正常の脳(右)手術中所見より
(画像にカーソルを合わせると、カラーに変わります)

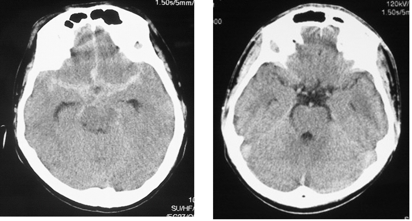
図:くも膜下出血のCT画像(左)と正常のCT画像(右)

図(例):脳動脈瘤クリッピング術 上(クリッピング前)、下(クリッピング後)
(画像にカーソルを合わせると、カラーに変わります)

図:動脈瘤コイル塞栓術 左(コイル塞栓術前)右(コイル塞栓術後)



