脳挫傷
脳挫傷の原因
頭部外傷での脳挫傷のでき方には主に二つの機序があります。一つは、強い加速度や回旋が加わった時にできるもので、軟らかい脳が、硬い頭蓋骨のなかで揺さぶられ、一部が傷んでしまうものです。この場合は前頭葉や側頭葉の先端部分に脳挫傷が形成されます。二つ目は頭蓋の直接打撃によるものです。打撃を受けた部分の直下の脳に局所的な脳挫傷が形成される場合です。この場合、打撲を受けた部分の頭蓋骨にしばしば陥没骨折が認められます。
脳挫傷の診断
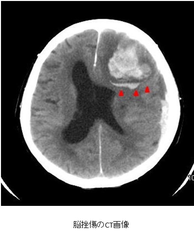
脳挫傷の診断はCTやMRIなどの画像検査で行います。挫傷した部分の脳は壊死や出血、浮腫が混在しています。CTでみると、正常の脳よりもやや黒っぽくなった部分(=浮腫や壊死)のなかに点状の白い部分(=出血)がモザイク状に散在して見えます。脳挫傷の症状は、頭痛や軽度の意識障害のようなものから、麻痺、言語障害、失語症、意識障害などの重篤なものまで、損傷の部位と大きさにより様々です。脳挫傷に伴う進行性の出血や脳浮腫が増大することで症状が悪化することがあります。
脳挫傷の治療と予後
挫傷した脳や周辺の浮腫が強くなってきたり、挫傷による脳内の出血が大きくなってくる場合には、更なる悪化を食い止めたり生命を救うために手術が必要になります。重症の脳挫傷では、たとえ手術を行っても、何らかの神経脱落症状を残す場合や生命に関わる場合もあります。また、てんかんの原因となることがあります。



