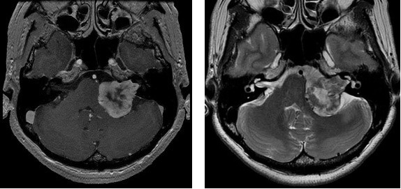
神経鞘腫
神経鞘腫とは
神経を包んでいる神経鞘(しんけいしょう)という組織から発生する、基本的に良性の腫瘍です。全身あらゆる神経に発生しますが、脳の中で最も多いのは聴神経です。この神経は更に、音を聞く蝸牛神経と体のバランスをとる前庭神経に分かれており、腫瘍は前庭神経から発生するため、聴神経腫瘍、聴神経鞘腫、前庭神経鞘腫などいろいろな呼び方がありますが、すべて同一のものです。
神経鞘腫の初発症状と診断
音の聞こえにくさ、耳鳴りが多く、他にはめまい、ふらつきもあります。この腫瘍では、水頭症という病気が合併することもあります。
神経鞘腫の治療
ほとんどはゆっくり大きくなるので、腫瘍が見つかっても慌てずに、症状の程度、腫瘍の大きさなどを総合的に考えて、今後どうするかを決めます。治療方針には、経過観察、手術、定位放射線治療の3つの選択肢があります。一つ目に挙げた経過観察は、定期的に画像を撮影し、腫瘍が大きくなるかどうかをみていくもので、腫瘍が小さい場合に勧められます。二つ目に挙げた手術は、開頭して腫瘍を取り除くものです。一般的に腫瘍が大きく、周囲の脳を圧迫するような場合は、手術の適応となります。三つ目に挙げた定位放射線治療は、放射線を多方向から照射し、腫瘍だけに多くの放射線が当たるようにするものです。放射線にはX線やガンマ線などがあり、一回の照射で治療するものと、数十回に分割して照射する方法があります。

神経鞘腫のMRI



