神経膠腫
神経膠腫(グリオーマ)とは
脳を構成する細胞の中で、神経膠細胞(グリア細胞)と呼ばれる細胞からできる腫瘍の総称です。神経膠細胞の中にも様々な種類があり、種類によって形や成長も異なるため、病理学的分類も非常に複雑です。脳に発生する腫瘍の中でも頻度が高く全脳腫瘍中の約1/3を占めます。原発性脳腫瘍は腫瘍の形態学、細胞学、分子遺伝学、免疫組織学的特徴を併せて評価するWHO分類と呼ばれる分類法が広く普及し、治療手段の選択と成績を表す指標となっています。神経膠腫の場合、予後の良好な方から不良の方へグレード1〜4に分類され、神経膠腫グレード2は低悪制度、3と4を悪性神経膠腫と総称しています。グレード1は小児発生が多いのに比べ成人ではグレード2,3,4の発生が主であり、いずれも脳内に浸潤性に発育するとされています。
2016年のWHOの分類では、グレード2,3グリオーマを構成する細胞の特徴から星細胞腫系と乏突起膠細胞系の2つに分類しています。また、腫瘍の発生にかかわる酵素の異常に関連するIDH遺伝子と、主に乏突起膠腫に関連する1番19番染色体の異常(1p19q LOH)をもとにした分類が定められました。これらは治療の感受性や予後に影響する要因となっています。
神経膠腫の初発症状について
頭痛・片麻痺・失語・意識障害・痙攣発作など腫瘍が発生する部位に応じた症状が見られます。グレード1,2は症状がゆっくり進行しますが、グレード3,4の悪性度の高い腫瘍では症状が急速に進行します。神経膠腫の10%程度に脳内出血を伴うため、脳卒中との鑑別が難しい場合があります。脳ドックなどで偶然見つかることもあります。脳は前頭葉・側頭葉・頭頂葉・後頭葉・脳幹・小脳など、部位によって様々な機能を持っていますので、脳腫瘍が頭蓋内のどこに発生するかによって様々な症状をおこします。
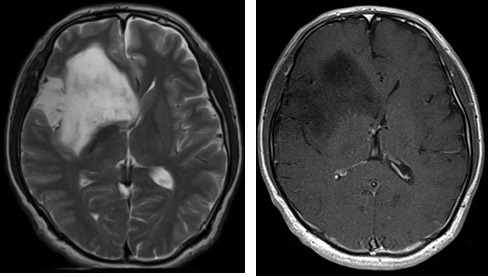
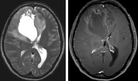
神経膠腫の治療
|
グレード2:この腫瘍は比較的ゆっくり成長する腫瘍であるために、条件に応じて治療法が変化します。グレード4と比較して5年生存率70%以上ですが、10年生存するのは半数程度、20年生存できるのは全体の1/5程度です。現在の推奨される治療は、40歳未満かつ手術でほぼ摘出が達成された場合には何もせずに経過観察、これら条件を満たさない場合には遺伝子の変異を考慮して放射線単独、化学療法単独、放射線+化学療法のいずれかが選択されます。腫瘍が小さい場合や完全に摘出された場合でも必ず定期的にMRIを行い経過観察することが必要です。
グレード3:5年生存率は50%よりも低いといわれています。治療方法も後述するグレード4に準じます。この腫瘍では手術による摘出率が治療成績を改善する可能性があるため、合併症状をださないように気をつけながら最大限の摘出が行われる傾向にあります。
|
グレード4:神経膠腫の中でも進行が早く最も悪性度が高い腫瘍で膠芽腫(グリオブラストーマ)と呼ばれます。5年生存率は約15%未満と非常に悪性度の高い腫瘍です。
手術により摘出された腫瘍組織から正確な診断をつけ、放射線治療、化学療法など最適な治療方法を選択することが必要です。また、新しい治療方法を開発するための臨床試験も積極的に行われています。
終わりに
神経膠腫の病態は一人一人違います。担当の主治医とよく相談し、時には専門の知識を持つ施設にセカンドオピニオンとして話を聞くことも病気を理解し治療方法を選択する上では大切です。この病気とつきあいながらこれまでどおりに生活されている方もたくさんいます。病気のことをよく理解し、納得する治療を選択しながら、本人、ご家族、社会、病院が一体となって治療をしていきましょう。



