脳内出血
脳内出血とは
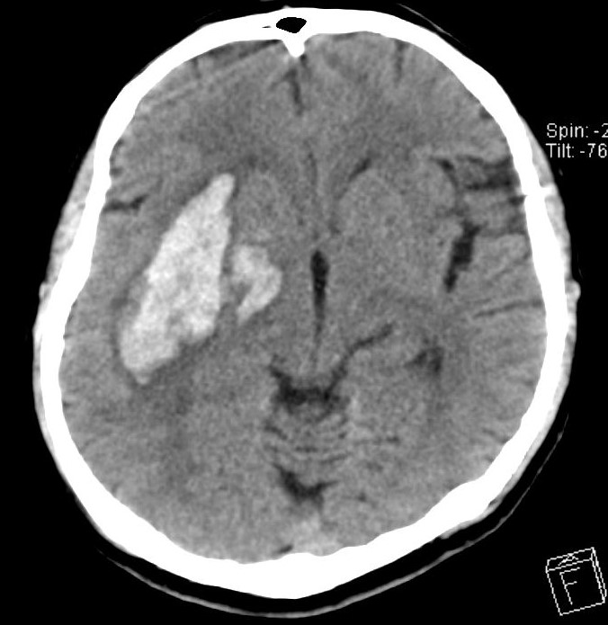
脳内出血とは『脳の中に出血する病気』です。脳の中には細い血管が走っています。この血管が破裂すると脳内出血になります。脳内出血を起こすと脳の中に血液の固まり(血腫といいます)ができ、その周囲の脳組織は破壊されてしまいます。出血した場所に応じてさまざまな症状が出ますが、どこの場所であっても大きな出血では意識が悪くなり、生命に関わる状態になります。

図:脳内出血のCT
脳内出血の7割以上は高血圧が原因です。高血圧の方は全身の血管の動脈硬化が進みます。脳の中の細い血管の壁が脆くなり、破裂すると脳内出血になると考えられています。近年、日本では、減塩の取り組みや高血圧に対する治療などによって、脳内出血で亡くなる方が減少しています。しかし、生活習慣の欧米化や高齢化社会だけではなく、抗血栓薬(血管の中に血の塊ができにくくする薬)を服用されている方が増えていることもあり、脳内出血にはまだまだ注意が必要です。
脳内出血の症状は出血した場所や出血の大きさよって異なります。手足の動きが悪くなったり、意識が悪くなったりすることがしばしば認められます。
脳内出血の治療
血圧を管理することや脳の腫れを予防するために内服薬や点滴治療を行います。大きい出血で脳の圧迫が強いときや、生命に関わるときは手術も考慮します。
手術は、血腫を取り除いて脳の圧迫を和らげる目的で行われます。手術方法に関しては、従来の開頭手術(全身麻酔で頭の骨を大きく開ける手術)や神経内視鏡手術(頭の骨を小さく開け、内視鏡で内部を観察しながら手術する)などいくつかやり方があります。



