海綿状血管腫・静脈性血管腫
海綿状血管腫とは
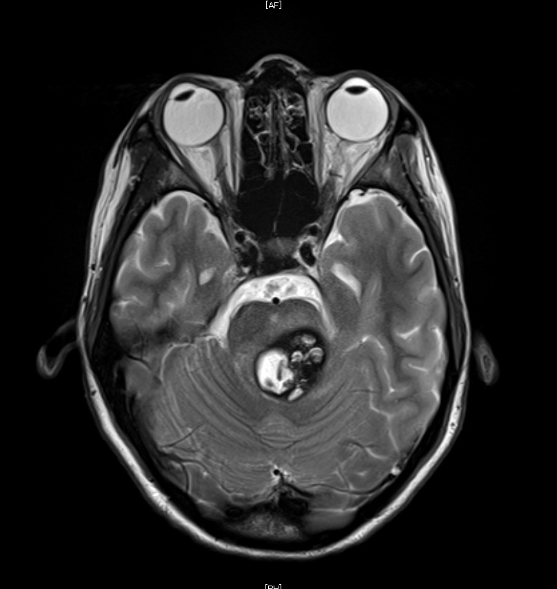
海綿状血管腫は、血管奇形の一つです。最近は脳ドックで見つかることが多い病気で、ほとんどの場合は無症状です。無症状の海綿状血管腫は、長期的に安定しており経過観察が基本的な治療方針です。しかし出血や、海綿状血管腫そのものにより脳が圧迫され神経症状が出現した場合や、てんかんの原因になった場合には手術による切除を考慮します。多発性、家族性のものもあります。多くは大脳にできますが、脳幹部にできる海綿状血管腫は出血しやすいことが知られています。脳幹部海綿状血管腫の出血では眼球運動障害や手足や顔面の麻痺、感覚障害や顔面神経麻痺など重篤な症状をきたすことがあります。しかし、手術も大きなリスクを伴うため、十分に検討する必要があります。
静脈性血管腫とは
静脈性血管腫は脳血管の形成異常ですが、これは出血するリスクは非常低いもので、治療の適応になることはほとんどありません。海綿状血管腫と合併することが多く、手術の際に傷つけると静脈梗塞を合併するリスクがあります。

脳幹部海綿状血管腫のMRI



