頭蓋内胚細胞腫
頭蓋内胚細胞腫とは
思春期に好発し、大脳の中でも松果体、鞍上部、次いで基底核と言われる部位に好発する脳腫瘍です。様々なタイプの腫瘍細胞が混在する腫瘍で、日本では病理診断によって大きく3つの群(1.予後良好群(good prognostic group)、2.中等度悪性群(intermediate prognostic group)、3.予後不良群(poor prognostic group))に分けられます。予後良好群にはgerminoma、成熟奇形腫が含まれます。予後不良群には胎児性癌、卵黄嚢腫瘍、絨毛癌、およびこれらの特徴を主体とする混合性胚細胞腫が含まれます。それ以外のタイプの腫瘍が中間型に含まれます。海外では高悪性群に分類される腫瘍が少ないことから病理診断により2つの群(胚腫群、非胚腫胚細胞腫瘍群)に分類されるのが一般的です。
この腫瘍は比較的稀な脳腫瘍のひとつであり、診断や治療など経験豊富な施設を受診し治療を受けることが望ましいです。
頭蓋内胚細胞腫の初発症状と診断
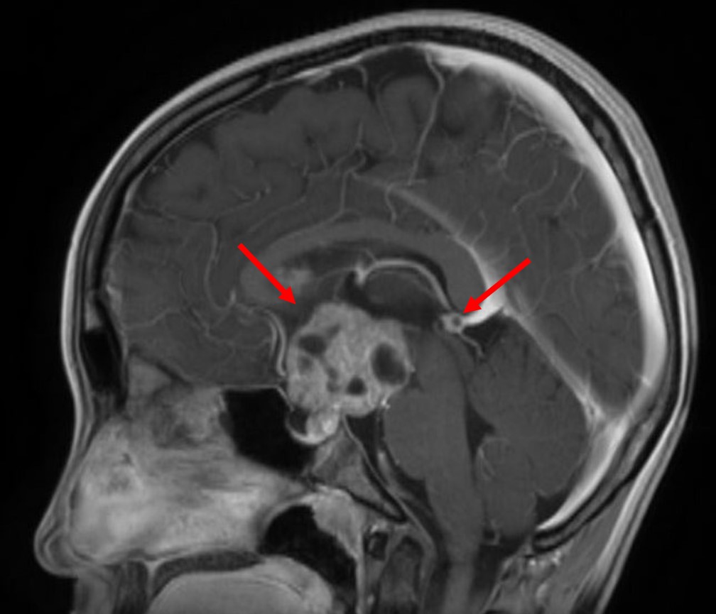
この腫瘍は松果体部(50%)と神経下垂体部(30%)にできやすい腫瘍で、その他にも大脳基底核、視床、脳幹部、小脳にも発生することがあります。また、腫瘍の種類によって発生しやすい場所が異なります。松果体部には男児に圧倒的に多く女児には少ないのですが、神経下垂体部には性差はありません。
腫瘍が小さいと発生した場所に応じた神経症状がおこります。特に神経下垂体部ではホルモン分泌異常による多尿(尿崩症:1日に5リットル以上の尿がでる)、低身長(成長ホルモンの分泌不全による)、活動性の低下や食欲不振、疲れやすい(副腎皮質ホルモンや甲状腺ホルモンの低下による)、無月経や乳汁分泌、二次性徴の遅れ(性ホルモン分泌異常による)などが代表的な症状です。腫瘍が大きくなると頭蓋内圧亢進症状(頭痛、嘔吐、視覚の症状、意識障害)が起こります。
頭蓋内胚細胞腫の治療
可能な限り開頭手術あるいは神経内視鏡を用いて組織を採取し、病理診断を行います。日本において胚腫はカルボプラチン+エトポシドによる化学療法に全脳室照射24Gyの放射線照射を併用する方法が広く行われ10年生存率97.5%と良好な治療成績をあげています。ただし、脊髄への放射線照射は治療成績の改善には影響しないこと、腫瘍局所への放射線照射だけでは不十分なことに加えて、小児の場合には広範囲への放射線により将来に身体の成長に関わる脳下垂体や視床下部からの内分泌機能障害が問題になります。そのため、放射線の照射線量を下げながら治療効果を落とさないようにするために、全脳室照射と化学療法の併用が日本での標準治療とされました。成熟奇形腫は他の胚細胞腫と異なり手術による摘出術のみがおこなわれる腫瘍です。
中等度悪性群では胚腫より、放射線の照射範囲と放射線線量を増やし、化学療法の強度を上げていく試みが行われています。さらに予後不良群では全脳全脊髄照射とより強度をあげた化学療法を必要とします。手術に関しては、予後良好群では手術による摘出度は治療成績とは関連しませんが、予後不良群では全摘出を目指すことが予後の改善につながるともいわれています。

胚腫のMRI。2箇所に腫瘍を認める。



