慢性硬膜下血腫
慢性硬膜下血腫とは
脳の周りにある硬膜内面の外側被膜(外膜)とくも膜表面の内側被膜(内膜)に包まれた暗赤色流動性の血腫を慢性硬膜下血腫といいます。主に頭部外傷が原因で、軽微な外傷後3週間から3ヶ月で硬膜下に血腫が生じ、徐々に増大して、脳を圧迫し症状が現れます。中高年以上の男性に多く、ほとんどが片側性ですが両側性にみられる場合が約10%あります。一般的には高齢者の抗血栓療法やアルコール摂取がリスクと考えられています。悪性腫瘍の関与や低随液圧症候群が原因となることもあります。以前は、中高年以上の男性に多い疾患とされていましたが、我が国の高齢者人口の増加により、後期高齢者に多く認められ、男女差も徐々に少なくなっています。
慢性硬膜下血腫の症状と治療
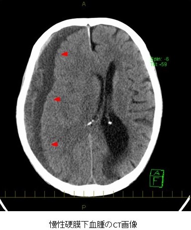
初発症状は頭痛が多く、続いて手足の麻痺や意識障害が認められます。特に高齢者では物忘れや性格変化などの認知障害や精神症状の出現で発見される場合があります。CTでは、前頭・頭頂・側頭部に三日月状に広がる血腫が認められ、正中偏位や脳室の圧排像などもみられます。無症状の場合には経過観察や内服加療による保存加療を行なうこともありますが、一般的には手術を行います。手術は、局所麻酔下に穿頭(頭蓋骨に直径1cmほどの穴をあける)を行い、液性の血腫のドレナージ(外に排出する)を行います。手術により症状は認知障害などを含め劇的に改善します。脳ヘルニアによる不可逆的脳損傷を起こした場合を除き、正しい診断のもとに時期を逸さず手術を行えば予後は極めて良好です。5〜10%の患者さんに血腫の再貯留を認め、再手術が必要となります。



