大型・巨大脳動脈瘤
大型・巨大脳動脈瘤とは
脳動脈瘤は破れるとくも膜下出血の原因となる疾患です。通常の大きさの脳動脈瘤では、未破裂の状態では無症状のことがほとんどです。しかし、脳動脈瘤が大きくなると、周囲の脳や神経を圧迫することで症状を呈したり、動脈瘤の中に血栓が生じこれが末梢血管に飛散することによる脳梗塞で神経症状が出現する場合があります。特に大きさが10ミリを超えると大型動脈瘤、25ミリを超えると巨大脳動脈瘤と呼ばれます。
巨大脳動脈瘤は、そのままにしておくと予後が悪いことが多く、治療が考慮されます。ただし、治療が難しいことも多く、実際に治療を行うかどうかは、動脈瘤の予後と治療リスクを十分に検討した上で決定します。
大型・巨大脳動脈瘤の治療
治療法は状況によって変わりますが、大きく分けると開頭手術とカテーテル治療があります。開頭手術ではクリッピング手術のほか、頭皮や前腕の血管を用いたバイパス手術を行い、動脈瘤と脳血管を一緒に閉塞する治療を行います。カテーテル治療では、コイル塞栓術のほか、血管に留置して動脈瘤内に入る血液を大幅に減少させることで血栓化させて閉塞するフローダイバーター治療を行います。
いずれにしても主治医の先生と十分に相談した上で治療を行うかどうかを決めることが大切です。

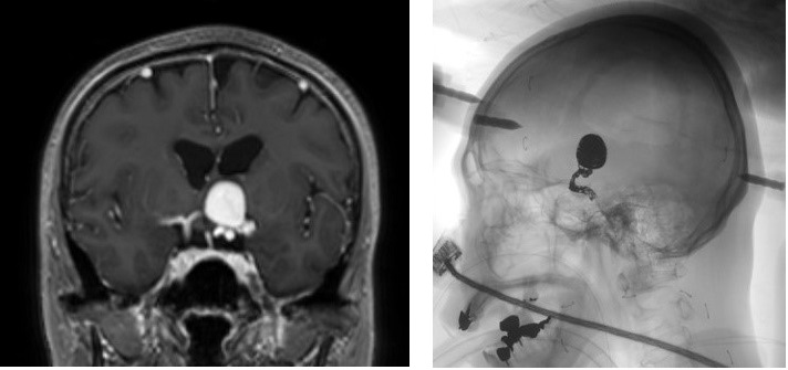
左:頭部MRI、右:治療後、血管内コイル塞栓術術後

図:フローダイバーター治療前(左)と治療から半年後(右)の画像。
矢印の範囲の血管にフローダイバーターが留置されている。



