急性硬膜下血腫
急性硬膜下血腫とは
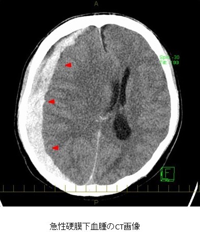
頭部外傷が原因で、脳の表面(くも膜)と硬膜との間に貯留した血腫のことを指します。頭部打撲による脳挫傷や脳表の血管損傷、回転加速度による頭部外傷では架橋静脈の損傷によって生じることがあります。受傷直後から意識障害や運動麻痺を呈している場合もあれば、当初は意識レベルが比較的良くても血腫増大によって神経症状が急速に悪化する場合もあります。特にスポーツに伴う急性硬膜下血腫では脳挫傷を伴わないことが多く、外傷直後に意識障害を認めず、数時間以内に症状が進行することもあり、注意が必要です。衝撃を受けた頭部と反対側に血腫を認めることもあります。診断にはCTによる画像診断が行われ、頭蓋骨と脳の間の三日月状の高吸収域が特徴的です。急性硬膜下血腫は、脳挫傷やびまん性脳損傷などの重篤な脳損傷を合併していることが多いため、著明な脳浮腫が進行し頭蓋内圧亢進(頭蓋内圧の上昇)も認めることがあります。
急性硬膜下血腫の治療と予後
手術適応は血腫の厚さや圧迫の程度、神経症状、その他の全身状態などから総合的に判断されます。手術は大きな開頭による血腫除去術が一般的に行われ、術後は脳圧コントロールをはじめとした神経集中治療が継続されます。手術例での死亡率は40〜60%と高く、たとえ救命できたとしても、重篤な神経後遺症を残すことが多くみられます。



