外傷性くも膜下出血
外傷性くも膜下出血とは
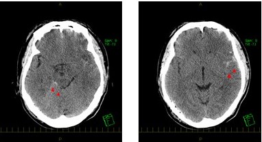
くも膜下出血とは、脳を包む3つの膜のうち、2つ目の膜であるくも膜の内側に出血するものです。くも膜下出血の原因でもっとも有名なものは脳動脈瘤破裂によるものですが、外傷性くも膜下出血は、文字通り、頭部外傷が原因でくも膜の内側に出血するものです。
CTやMRIの検査と受傷起点から診断されます。脳動脈瘤の破裂の可能性やその他出血性の脳血管異常を否定するために脳血管の詳しい検査が必要になることもあります。稀に脳動脈損傷や脳梗塞を合併することもあります。
外傷性くも膜下出血の症状と治療
外傷性くも膜下出血だけであれば、運動麻痺や言語障害などがみられることは少なく、頭痛が主症状となります。多くの場合、自然に止血・吸収されるため手術は行われません。ただし、急性硬膜下血腫や脳挫傷など、脳の損傷を伴う場合もあります。脳の損傷が強く、脳が腫れ頭蓋内圧が高くなってくる場合などでは、頭蓋内圧を減らすために減圧開頭術を行う事があります。
外傷性くも膜下出血の予後は、主に併存する脳の損傷の程度で決まります。脳の損傷が強ければ、その分、生命の危機や重い後遺症となる可能性が高くなります。出血量が多い場合にも注意が必要です。出血の量が少ない場合では、目立った後遺症なく回復します。

外傷性くも膜下出血のCT画像



