脳瘤
脳瘤とは
脳瘤とは、体の多くは正中部分(真ん中)に欠損した頭蓋骨から脳組織や硬膜が頭蓋内より外側へ突出した状態の事を指します。別名二分頭蓋と呼ばれています。脳瘤は、日本人では通常後頭部の正中部分に発生しますが、脳瘤の発生部位には人種や、地域による差があり前頭部の正中部分、鼻根部や鼻腔内に発生する例が多くみられる場合があります。
原因は未だ特定されていませんが、妊娠初期に脳や脊髄の元となる神経板が筒状に変化し神経管を形成する際に生じる異常ではないかと推測されています。
脳瘤の症状と診断
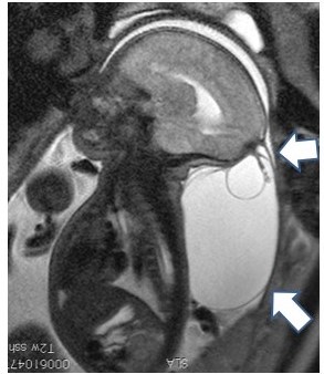
脳瘤はしばしば頭蓋顔面奇形や中枢神経の奇形を伴います。特に水頭症を認める例が多くみられます。脳瘤は通常後頭部に比較的大きな瘤(図1、MRI、矢印)を認めていますが、停止性脳瘤と呼ばれる頭皮の小さな病変(図2、矢印)や頭蓋底脳瘤と呼ばれる、鼻腔内に瘤が突出するような例はCT、MRIで診断されます。瘤に一致した部分の頭蓋骨に孔が開いていることが脳瘤の特徴です。また頭蓋底に脳瘤がある場合には、鼻腔を閉塞することで気道が通りづらくなることがあります。

図1 後頭部脳瘤のMRI 嚢胞を後頭部に認めている

図2 停止性脳瘤の例 病変部を矢印で示している
脳瘤の治療
瘤が大きければ外科的修復術が行われます。手術の時期については皮膚が欠損し神経組織が露出している場合には、組織保護と感染防止の観点から出生後速やかに手術を行い修復する必要があります。一方皮膚に覆われて神経組織が露出していない、あるいは頭蓋内の髄液が流出していなければ後日手術を行っても問題はありません。瘤がある部分の頭蓋骨には通常骨に孔が開いており、大きさによっては修復する必要があります。水頭症を合併している例では脳室腹腔シャント術を行います(水頭症の項目を参照ください)。停止性脳瘤については病変部が小さいことが多く、そのままにしておいても問題ありません。瘤がある部分の髪の毛が生えておらず、整容的な観点から切除する事があります。
比較的大きな瘤を形成する例では発達の遅滞を呈し、痙性四肢麻痺やてんかんを合併する例もありますが、脳実質が脳瘤内に陥入しておらず、脳の形成が良好な例については正常に発達する例もあります。停止性脳瘤の例については、ほとんどが正常に発達します。



