転移性脳腫瘍
転移性脳腫瘍とは
体にできたがんが元の臓器から離れて脳や頭蓋内に転移したものです。脳に転移しやすいがんとして肺がん、乳がんが知られていて、このようながんの場合には約4割で脳転移を生じるとも言われています。国内での2015年度のがん患者発生予測は98万人ですので、年間数万人が脳転移を起こすことになります。転移を起こす頻度は肺がんが45.6%、次いで乳がん12.8%、大腸がん5.7%、腎臓がん5.2%の順となっています。脳への転移の時期は、早期から脳への転移を来すことが知られている肺がんや、何年も経過し体の他の場所に転移した後で脳に転移を起こす乳がんなど、がんの種類によって異なることが知られています。
転移性脳腫瘍の診断
|
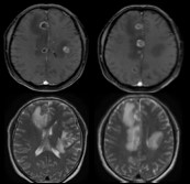
転移は脳のどこにでも起こるため、転移した場所に応じて様々な症状が出現します。ただし転移したがんが小さいうちは無症状のことも多く、検査で偶然に見つかる事もあります。がんが大きくなるとともに、周囲にむくみ(浮腫)を伴うことが多く見られ、頭痛やてんかん発作を引き起こすようになります。稀ではありますが、脳の周囲を循環する脊髄液の中に広く飛び散ると、髄腔播種またはがん性髄膜炎と呼ばれます。多くの場合にはMRIで脳転移が診断されます。
転移性脳腫瘍の治療
以前は脳にがんが転移すると、有効な治療方法がないために終末期治療に切り替えられた時代もありました。しかし、様々な治療方法が開発されたため脳転移が原因で亡くなる方は、脳転移の見つかった方の2割未満と大きく改善しました。おおよそ3cmを超えるものは手術による摘出が必要になります。それ以下のサイズの場合には、がんのサイズ、個数、場所、年齢などから脳全体への放射線照射を行う場合や、ガンマナイフ、サイバーナイフと呼ばれる局所への放射線照射が選択されます。最近では脳転移に効く抗がん剤やむくみをとる効果のある薬剤も開発されつつあります。例えば肺がんや乳がんではがんの種類を遺伝子レベルにより分類し、分子標的薬とよばれる化学療法が奏功するタイプがあることもわかりつつあります。また、がんの種類に応じて化学療法だけでなくホルモン療法や免疫療法が選択される場合もあります。
がんの治療は時代とともに大きく変わりつつあります。がんの脳転移を治癒させることは難しく予後は不良です。しかし、治療方法も新たな化学療法が開発され、少しずつではありますが治療成績も良くなりつつあります。がん自体の進行、全身状態、転移の状態を十分に理解しておられる主治医や専門医とよく相談し、有意義な生活の質を保ちながら治療の選択を行う事が重要です。



