髄芽腫
髄芽腫とは
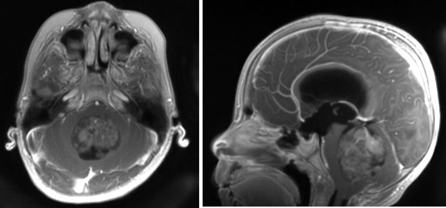
好発年齢は5〜9歳と小児期に多い腫瘍で、小脳を中心に発生する悪性脳腫瘍です。
髄芽腫の初発症状と診断
小脳の腫瘍が大きくなることにより第四脳室という脳脊髄液の循環経路を狭くすることから急速に頭に脳脊髄液の溜まる水頭症と呼ばれる状態(頭痛、嘔吐)で発見される場合もあります。MRIで小脳虫部から発生した腫瘍であれば髄芽腫が疑われます。
髄芽腫の治療
この腫瘍は、@3歳以上、A摘出術後残存腫瘍が1.5cm²未満、B髄液播種を認めない、の3条件をすべて満たすものを標準リスク群、それ以外を高リスク群として2つに分類し、治療方法を考えます。
標準リスク群に対する標準的な治療は全脳全脊髄に23.4Gy+後頭蓋32.4Gyを照射する放射線療法を行った後に多剤併用による化学療法を行います。
高リスク群に対してはより高線量の放射線治療と多剤併用の化学療法を行います。ただし、3歳未満の場合には放射線照射による後遺症(晩期放射線障害)による症状が強いために、通常は化学療法単独での治療を先に行い、放射線照射は行わないか、3歳を超えるまで延期することが多いです。ただし、早期再発の場合は放射線治療を3歳前に行わなくてはいけない場合もあります。
標準リスク群に対して放射線化学療法が行われた場合に5年間再発無く生存している割合(無増悪生存率)と全生存率は8割を超しており、手術による摘出とその後の治療により治療効果を得られる腫瘍です。以前は高リスク群の治療成績は非常に不良でしたが、近年は化学療法の進歩により長期の生存を得られる患者さんも増えてきました。
また、分子遺伝学特性から4つの亜群に分類され、それぞれの予後についての違いが報告されています。
治療成績に関係するのは標準リスクか高リスクか、どのような腫瘍細胞のタイプなのかが関連するといわれています。専門性の高い腫瘍ですので脳腫瘍の治療と同時に子供さんの今後の成長を見守る必要があります。専門の知識を持つ施設で治療方法を受けることが大切です。

髄芽腫のMRI



