放射線治療
放射線治療の一般知識
放射線は細胞に損傷を与えることにより病変を治療します。がん細胞のように増殖を繰り返す細胞は、正常な細胞に比べその作用を受けやすく、様々な部位のがんの治療に使われています。頭蓋内病変に対して行われる放射線治療は、悪性腫瘍に対する治療だけでなく、一部の良性腫瘍や血管障害にも使われているという特徴があります。
放射線治療装置と照射法について、分割照射、定位放射線治療、粒子線治療に分けて解説します。
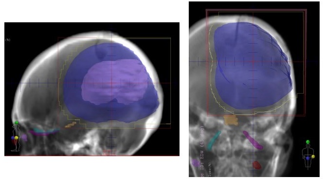
分割照射
主としてリニアック(またはライナック、直線加速器)と呼ばれる装置で、X線を発生させ病変を照射する方法で、もっとも一般的な放射線治療装置です。病変周囲の正常な組織の影響を抑えるため、少ない量を週5日、数週間かけて照射します。転移性脳腫瘍に対する全脳照射や悪性神経膠腫に対する治療などに用いられています。強度変調放射線治療(IMRT)や容積強度変調回転照射(VMAT)とよばれる照射方法によって、病変の形状に合わせて照射範囲や放射線量などを調節できるようになりました。

図 左頭頂葉悪性神経膠腫術後に対する放射線治療
定位放射線治療
定位放射線治療(ラジオサージェリー)は、放射線を集中的に病変へ照射することが可能な装置により、高線量を1回照射して治療を行います。ガンマナイフやサイバーナイフ等が、この治療で使用されている放射線治療装置です。いずれも、一カ所に多数の方向から放射線を照射することにより、病変に集中的に照射を行います。単回照射が基本ですが、比較的大きな病変に対しては、2〜5回程度に分けて照射する方法(寡分割定位的放射線治療)も行われています。

図 転移性脳腫瘍
肺がん脳転移の症例。左側頭葉に転移巣を認めます。
治療計画の後、治療を行い、治療後8ヶ月では転移巣は消失しています。
転移性脳腫瘍などの悪性腫瘍だけでなく、髄膜腫、神経鞘腫などの良性腫瘍、脳血管障害である脳動静脈奇形、顔の痛みの病気である三叉神経痛に対しても治療が行われます。
粒子線治療
X線、ガンマ線は高いエネルギーを持った光(光子)を用いた放射線治療であるのに対し、粒子線治療は陽子、炭素イオンといった質量を持つ粒子を治療に用いる方法で限られた施設で行われています。また、中性線治療は粒子線治療のひとつですが、ホウ素化合物を用いてより選択的に腫瘍細胞を治療する方法で、臨床研究として行われています。



