神経内視鏡手術
内視鏡は胃カメラなどでおなじみの、細いガラスファイバーを通じて光を出しながら深部や閉鎖腔内を観察するチューブです。脳神経外科領域の内視鏡手術を神経内視鏡手術と呼んでいます。開頭して脳を圧排しながら行う従来の脳外科手術の侵襲を少しでも小さくするために開発されてきた方法です。神経内視鏡手術には2つの使い方があります。一つは内視鏡単独で手術を行うもので、これは“狭義の神経内視鏡手術”とも呼ばれます。もう一つは顕微鏡を使ったマイクロサージェリーを行う際に内視鏡を併用するものです。後者では狭い術野の中で手術顕微鏡では見えない部分を内視鏡で観察し、術野に死角を生じないようにすることができます。これを“内視鏡支援手術”と呼んでいます。
内視鏡で観察できるところは本来膀胱や消化管など管腔状の臓器ですが、脳の中には脳室という脳脊髄液を満たしたスペースがあり、この中の病変の観察に最も適しています。脳内血腫や膿瘍など病的に作られた腔の内部も観察できます。一方、脳や血管の裏側や、深部の観察は開頭手術中に内視鏡を術野に入れて行います。深部や頭蓋底の脳腫瘍摘出術、脳動脈瘤のクリッピング術など比較的深部で顕微鏡では観察しにくいような死角が生じやすい病態が対象疾患になります。この中でも特に下垂体腫瘍は鼻の中から内視鏡を用いて行う経鼻的手術が多く行われるようになってきました。
神経内視鏡手術で用いられる内視鏡は大きく2種類に分けられます。一つは硬性鏡と呼ばれる金属の鏡筒を持つもので(図1)、もう一つは軟性鏡といい内視鏡の本体が樹脂でできているため可動性を有するものです。胃カメラと同じ構造です。多くは内部にグラスファイバーを内蔵するのでファイバースコープとも呼ばれています(図2)。

図1 左:神経内視鏡手術用硬性鏡 A:鉗子チャンネルを有するもの。B:観察用硬性鏡
右:硬性鏡に用いられる鉗子類


図2 神経内視鏡手術に用いられる軟性鏡(左)と鉗子類(右)
硬性鏡と軟性鏡にはそれぞれ特徴があり手術の方法と目的により使い分けをします。一般的に硬性鏡は画質が優れ鮮明な画像が得られますが観察できる方向が限られるという欠点があります。これに対し軟性鏡は画質では硬性鏡に比べ劣りますが機動性があり広い範囲をくまなく観察したいというときに有利であるという特徴があります。前述の脳室内、血腫腔内等の観察、及び経鼻的下垂体腫瘍摘出術などには硬性鏡、脳室深部の観察や内視鏡支援手術には軟性鏡が主に用いられます。
脳室内や血腫腔内への内視鏡の挿入のためには、ます穿頭術を行い、硬膜を切開して脳に細い管を差し込んでいき、目的の腔内へ留置します。さし込む方向や深さは、あらかじめCTやMRIなどで位置を計算した上で行います(図3)。この管を通して内視鏡を差し込みます。内視鏡の先端に血液などが付着すると見えなくなってしまうので、生理食塩水で洗ったり、取り出してふき取ったりしながら作業を続けます。病変部を観察した後、内視鏡の側孔より鉗子やバルーンカテーテルや血液を凝固止血させるための道具類を挿入し、病変部を切り取ったり、穴をあけたり、広げたりといった手技を行います。術者は内視鏡に取り付けられたカメラから送られた映像をモニターでみながら、内視鏡の先に手術器具をだして操作を行います。
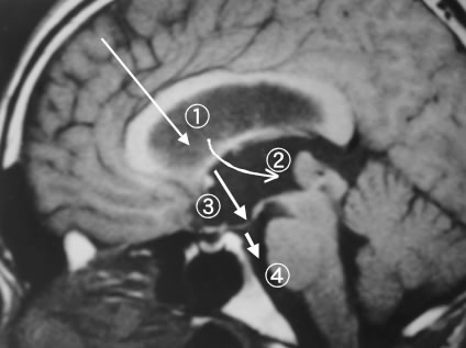
脳室内での使用法で最も頻度の高い治療第三脳室底開窓術です。脳脊髄液は脳室の中で生産され、これは側脳室、第三脳室、第四脳室を通って脳外のクモ膜下腔というところへ流れ出し、最終的に静脈の中へ吸収されていきます。第三脳室の出口にあたる中脳水道という細い通り道が脳腫瘍の圧迫などで閉塞すると、この脳脊髄液の循環が障害され、それより上流にある脳室内に水がたまってしまいます。これを水頭症といいます(水頭症、シャント手術の項参照)。このままでは脳室内圧がどんどんあがって脳を圧迫していくため、圧を逃がしてやるために脳脊髄液の逃げ道を作ってやる必要があります、一つの方法はシャント術(シャント術の項参照)ですが、腹をあけて長いチューブを通す必要があり、腹の中へ液を入れたくない病態(悪性脳腫瘍、癌、腹腔内病変など)や緊急を要する場合には、生理的な脳脊髄液循環を維持するためにこの方法がとられます。やり方は内視鏡を第三脳室内へ挿入し、第三脳室底面の前方にある灰白隆起と呼ばれる薄い膜に穴をあけ、それをバルーンカテーテルで大きく開窓します(図4)。これにより、図3の矢印のように第三脳室内の髄液は脳外のクモ膜下腔(脳底漕)に流れるため、本来の中脳水道を介する経路が必要なくなります。また脳室内を軟性鏡で観察しますと、後方には中脳水道を閉塞する様に腫瘍と思われる組織が確認されます(図5)。腫瘍は鉗子を用いて生検し、病理診断を行います。

図3 MRI矢状断(右:腹側、左:背側)右前頭部より進入し側脳室に入る(1)。モンロー孔を経由し第三脳室に至り後方を観察(2)腫瘍を確認し灰白隆起(3)を穿孔後、脳底槽を観察し(4)手術を終了する。

図4:灰白隆起を開窓しバルーンカテーテルにて開窓を広げる(左上)。開窓を終了し(左下)開窓部より脳底槽に内視鏡を進め、脳底動脈を観察する(右上)。

図5:側脳室に内視鏡を進めモンロー孔を観察(左上)し第三脳室に至る。内視鏡を後方に転じ中脳水道を閉塞した腫瘍を観察(左下)後に前方に内視鏡を戻し乳頭体、灰白隆起を視野に入れる(右上)。



