ガンマナイフ治療
ガンマナイフは定位的放射線治療装置として最も普及しているもので、国内に49台あります(2005年8月現在)。「定位」とは病変の位置を正しく定めるという意味です。放射線治療を行うときには、病変部分だけにたくさんの放射線がかかり、その周囲にある正常の脳には極力余分な放射線がかからないことが理想的です。そのため頭部にリングを装着してCTやMRIを撮影し、照射するターゲット(多くは脳腫瘍)の位置を三次元的に正しく位置を定めます。その上で、コンピューターで計算を行って病変部分だけに高いエネルギーの放射線がかかる照射計画をしています。

概要
ガンマナイフ装置は内部にコバルト60のガンマ線源を201個備えており,その多数のガンマ線ビームを一点の病変に集中して照射させることができる構造となっています (機械誤差は 0.2 mm 以下)。病変の大きさと形に合わせて,4,8,14,18 mm の4種類のコリメーターを使い,正常な脳組織への照射を少なくし,確実に病変部位に放射線を集中することで、安全な治療を行うことが可能です。これにより,開頭手術を行わずに脳深部の病変を治療することができます.治療に際しては,脳内の病変を正確にドームの中心におくために,局所麻酔下に,定位脳手術用の頭蓋固定フレームを4箇所で頭部にしっかり固定した後、MRI,CT,脳血管撮影などの必要な検査を行い,病変の座標を正確に計測して行います.治療時間は病変の大きさ、照射線量により異なりますが、一般的には30分から1時間前後放射線照射します。


適応
脳腫瘍、脳動静脈奇形などの頭蓋内病変が適応となります。最近では機能的疾患(特に三叉神経痛やパーキンソン病、てんかん、頑痛など)に対しても治療が行われるようになりました。頭蓋内の病変であれば、あらゆる部位の病変に対して治療可能ですが、病変の大きさは直径3cm以内が良い適応となります。それ以上の大きさの病変では基本的には治療の適応外ということになり、開頭手術で摘出した後、残存又は再発病変に対してガンマナイフを行うことになります。しかし、日常診療においてはこのような大きな病変でも、開頭手術困難な場所であったり、高齢者や全身状態が悪く手術に耐えられない場合など、ガンマナイフ治療に対する期待は大きくなっており、脳動静脈奇形であれば、血管内治療との併用療法や2回に治療を分けて行う分割照射(二期的治療)を行ったり、脳腫瘍であれば分割照射や低線量照射によって治療を行うこともあります。
ガンマナイフ後の経過
ガンマナイフ治療は基本的には1回のみの治療となりますが、ガンマナイフ後は定期的に画像(MRIなど)による検査が必要となります。開頭手術と違い、病変を取り除いてしまったわけではないので、病変の状態がどう変化しているかを慎重に追跡する必要があります。
症例呈示
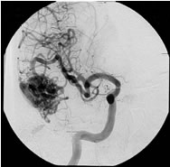
脳動静脈奇形
治療成績は病変の大きさ及び部位によって大きく異なりますが、直径3cm以内のガンマナイフ治療に適した脳動静脈奇形の場合、3年後の完全閉塞率(治癒率)は60−90%前後と報告されています。下図はガンマナイフ治療が奏功し、完全閉塞した典型的な症例です。
ガンマナイフ時の脳血管撮影
![]() |
![]() |
| 正面像 | 側面像 |
3年後
![]() |
![]() |
| 正面像 | 側面像 |
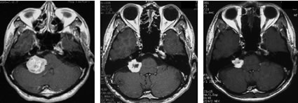
聴神経腫瘍
ガンマナイフの良い適応のひとつで、10年以上経過しても90%以上の症例で腫瘍制御が可能です。

左:ガンマナイフ時 中:5年後 右:10年後
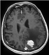
転移性脳腫瘍
近年、ガンマナイフ症例数のほぼ半分を占めています。基本的には1〜10病変未満が良い適応となります。複数の病変であっても、1回の治療ですべてを治療することが可能です。
![]() ![]() |
| ガンマナイフ時 |
![]() ![]() |
| 6ヶ月後 |
最近のトピックス
1999年以降最新型ガンマナイフユニットモデルCが登場し、ガンマナイフ治療が劇的に変わりました。このCユニットの特徴はAPS (Automatic
Positioning System)と呼ばれる装置(左の写真)が搭載されていることです。この装置により治療計画で決定された目標座標点に病変部を自動的に移動させることが可能となりました。
以前のモデルではこれらはすべて手動で行われていましたが、機械が自動的に動作するため、治療時間の短縮のみならず、照射精度の上昇や人為的ミスをなくすという多大なメリットがあります。特に照射精度に関しては従来の0.5mm単位から0.1mm単位の治療計画が可能となり、治療成績の向上にもつながると期待されています。この他、定位的放射線治療の方法としてライナックラディオサージェリーがあります。











